ホーム > 患者さんへ > 診療内容・実績 > 救急治療
救急治療
当科が診療にあたる代表的な救急疾患は頭部外傷、脳卒中(脳血管障害)、脳膿瘍、てんかんなどがあります。
当院では、救命救急センター、高度脳卒中センター、高度外傷センターと共に迅速かつ適切な診療を行い、24時間体制で緊急手術(血管内治療含む)を実施できる体制を病院全体で作っています。
それぞれの病気の概要についてご説明いたします。
| 頭部外傷 | 脳卒中(脳血管障害) |
| 脳膿瘍 | てんかん・意識障害 |

【頭部外傷】
頭部外傷は、軽微なものから重篤なもの、また多彩な発症様式をもった領域です。また受傷後しばらくは軽微なものであっても、数時間で重篤な状態になるものもあり、適切な初期対応が重要になります。
[ 外傷性頭蓋内出血 ]

頭部外傷により生じた頭蓋内出血は外傷性頭蓋内出血と総称され、出血の部位によって硬膜外血腫、硬膜下血腫、くも膜下出血、脳内出血(脳挫傷含む)に分類されます。
血腫によって脳が強い圧迫を受けて、そのために意識の状態が悪いと判断された場合、または悪くなると予想された場合は、血腫を取り除く手術を行います。ただ、手術を必要とするほどの頭蓋内出血は、予定通りに手術が終えられても術後に意識が戻らなかったり、重篤な後遺症が残ってしまうことを多く経験します。特に血をサラサラにする薬を飲んでおられる方や肝臓の機能が特に悪い方は自然止血が得られにくく、極めて予後不良です。
手術は全身麻酔下での開頭血腫除去術を行います。血腫を取り除いた後は、脳が全体的に浮腫んでくることが多いため、腫れてきた脳の圧を逃がす目的で骨を外して皮膚だけ閉じてくることもあります(外減圧術)。外した骨は清潔な状態で冷凍保存し、脳の腫れが落ち着いたところで元の位置に戻す手術を行います(頭蓋形成術)。
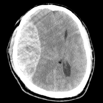
[ 慢性硬膜下血腫 ]

頭蓋内に血腫が徐々に蓄積し、その血腫によって脳が圧迫を受けて症状が出現する病気です。症状は認知症のような症状や片方の手足の麻痺といった脳梗塞のような症状であったり、頭痛のこともあります。
多くの場合は軽微な外傷の後(1~3ヵ月)で生じますが、外傷の既往が明らかでないこともあります。稀に感染症や悪性腫瘍(脳以外)が原因で生じることがあります。
リスクは、男性・高齢者・酒飲みに多いと報告されています。
時期を間違えずに治療を行うことで、治癒しうる予後良好な病気です。
手術は1円玉大の孔を頭蓋骨にあけてチューブを血腫の中に留置し、半日かけて血腫を排液する方法が一般的です。
時に再発することがあります(10%程度)。
[ 頭蓋骨骨折 ]

頭蓋骨に骨折があっても、出血がなかったり、出血があっても意識の状態がよければ保存的加療(手術を行わずに経過を慎重にみる方法)となります。
ただし、出血が多く脳を圧迫して神経症状を呈している場合や、頭の中に空気や土・石といった異物が入ってしまい感染の恐れが高い場合、また骨折により骨が歪むことで骨と骨の隙間を貫通する脳神経が損傷している場合、大きな骨折によって見た目を損なう場合は手術を行うこともあります。
[ びまん性脳損傷 ]
びまん性脳損傷は、受傷時より意識障害があるにも関わらず頭部CT検査では頭蓋内に明らかな血腫といった異常所見を認めない病気です。
頭部MRI検査で診断が可能ですが、受傷直後から昏睡状態が継続しているような場合や両目の瞳孔が散大しているような状態の場合は、手術を行っても改善が見込めないことがほとんどであるため原則は保存的加療と考えられている極めて予後の悪い病気です。
[ 脳震盪 ]
受傷後に普段と意識の状態が異なる時間が少しでもあれば脳震盪を疑います。
日常的にスポーツの現場でみることの多い病気です。
スポーツ外傷における脳震盪の定義は、一過性の意識障害や健忘だけでなく、頭痛や気分不良などの幅広い症状を含んでいます。意識消失や健忘がなくても頭痛やめまい、耳鳴り、気分不良、ぼーっとするなどの身体の自覚症状に加えて、一時的にでも客観的に普段と異なる状態と判断された場合は脳震盪を疑い、すぐに競技を中止し医療機関への受診が推奨されます。
脳震盪は、頭に強いエネルギーが加わった状態であり、回復するまでに時間がかかることがわかっています。完全に回復していない状態で、さらに頭に強いエネルギーが加わることで脳は不可逆的(元に戻らない)なダメージを受け、後遺症を残したり、また最悪の場合は亡くなってしまうこともあります。
特に小児や若年者は脳震盪の症状が長く遷延しやすいため、健全な発育を見守るためにも決して軽視されてはならない病気です。

【脳卒中(脳血管障害)】

脳卒中(脳梗塞、脳出血、くも膜下出血)は、日本人の死亡原因第4位の疾患ですが、臓器別の死亡原因第 1 位、重度障害の原因疾患第 1 位で、現在の高齢化社会にあっては、医学的・社会的に非常に重要な疾患となっています。
脳卒中は重篤な疾患ですが、最新の画像診断と、遺伝子組換え組織型プラスミノゲン・アクチベータ(rt-PA)による薬物血栓溶解療法、脳神経外科手術、更にはここ数年で急速な進歩を遂げている脳神経血管内治療を、効率的に駆使することができれば、『脳卒中は “ 崖っぷちから救える疾患 ” 』となってきました。
高度脳卒中医療を行うためには、最新の医療設備と脳卒中関連領域の専門医チームによる連携診療体制が必須となります。当院では、24 時間稼働するCT/MRI脳・脳血管診断装置、24 時間対応可能な 血栓溶解療法(rt-PA 治療)、脳血管内治療と脳神経外科手術治療、そして 20 名余からなる脳卒中関連専門医(神経内科専門医、脳神経外科専門医、脳卒中専門医、脳神経血管内治療専門医、脳卒中外科手術技術指導医)が、効率的に脳卒中超急性期医療連携を行う体制が整っており、脳卒中患者さんの救命と後遺障害の低減、そしてリハビリテーション医師・理学療法士による神経機能回復治療を行うことができます。
当院は2020年9月に高度脳卒中センターを開設し、24時間365日脳卒中関連専門医による迅速かつ効率的な高度脳卒中医療を提供しており、良好な治療成績を得ております。
それぞれの疾患の詳細については、下記より選択ください。
| 脳梗塞 | 脳出血 | くも膜下出血 |
【脳膿瘍】

脳膿瘍とは、病原体が脳実質に化膿を起こし、膿汁が貯留した状態を指します。
原因として、血液中に菌が蔓延している状態であったり、中耳炎や副鼻腔炎、歯髄炎など脳に近い領域の感染症が代表的です。
症状は、発熱と頭痛、嘔気・嘔吐に加えて、膿汁が溜まっている部位に一致した神経症状(視野障害や失語症、片方の手足の麻痺や感覚障害など)です。
治療法はまず強力な抗生剤による保存的加療を行います。抗生剤の効果が弱い場合には手術を行い、膿汁を排液(排膿)します。
治療成績は以前に比べると改善しておりますが、現在においても致死率は10%程度とされています。
【てんかん】
最も罹患率の高い疾患であり、総人口の約1%と報告されています。
原因は原発性(脳の形成異常など)と続発性(脳腫瘍や脳卒中、外傷などによる脳損傷)に大別されます。成人になってから初めて発作を起こした場合は、脳に器質的疾患が隠れている可能性があるため精密検査が必要になります。
精密検査は、脳波検査や頭部CT、MRI、核医学検査などを行います。
治療法は、薬物治療(抗てんかん薬)が原則であり、薬物治療に抵抗性の場合にかぎり外科的介入を行います。特に近年は安全で効果的な薬が増えてきており、患者さんにとっても治療の選択肢が増えてきています。
当院では、脳神経内科と連携し最適な治療が行えるよう努めております。


