ホーム > 患者さんへ > 診療内容・実績 > 脳血管内治療
脳血管内治療
血管内治療(カテーテル手術)は、カテーテルを穿刺する部位の数ミリの傷だけであるため、患者さんにとって非常に負担の少ない手術です。またカテーテルだけでなく、ステントやコイル等、よりよいものが今現在の開発されているため、日進月歩に治療方法が発達している領域です。
ここでは血管内治療の代表的なものを御紹介します。
| 頸動脈ステント留置術 | 脳動脈瘤コイル塞栓術 |
| 腫瘍栄養血管塞栓術 | 機械的血栓回収術 |
【頸動脈ステント留置術】
頸動脈に狭窄病変があり、薬による内科的治療だけでは今後脳梗塞を発症・再発してしまう可能性が高い場合にお勧めする手術です。
既にこの狭窄病変(中等度~高度な狭窄)が原因で脳梗塞が生じた患者さんや、これまで脳梗塞を起こしていない(無症候性)が高度な狭窄病変を有する患者さんにこの手術を検討します。
足の付け根から直径3mm程度のカテーテルを血管の中へ挿入し、頸部の狭窄病変近くまで誘導した後に、狭窄部位を風船で拡げたり、ステントと呼ばれる網目状の金属の筒を留置することで、血管の内側に付着したプラーク(脂)を血管の外側へ圧着させます。そうすることで減少していた脳への血液の量を改善し、また脆いプラークが飛散して頭蓋内血管を塞栓することで生じる脳梗塞を予防できます。

右:ステントによって狭窄が改善しています。
また狭窄病変を拡げる際に脆いプラークが飛散しないように、病変手前でカテーテル先端に付いた風船を膨らませることで一時的に血流を遮断したり、病変より遠い位置で飛散したプラークを回収する網を留置するなどの工夫をしております。
基本的には局所麻酔で行い、傷の大きさはカテーテルが入っていた片方の足付け根に数ミリ程度のため、身体への侵襲が極めて少ない治療です。
それでも少量のプラークが飛散して術後に脳梗塞を生じたり、術後数日の間で柔らかいプラークがステントの内側にせり出して追加治療を要することがあります。また極めて稀ですが術後には脳への血流が急激に増加することで、脳の血管が対応できずに過灌流という状態(血液が過剰に流れている状態)となり、脳が浮腫んだりまた最悪の場合は脳出血を起こすこともあるため、当院では術後もしばらくは徹底した脳血流の管理を行っております。
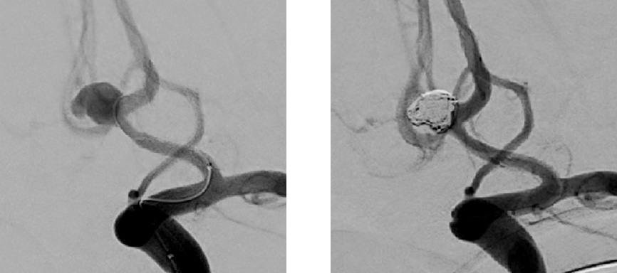
【脳動脈瘤コイル塞栓術】
脳ドックや頭痛・めまいの検査で偶然に発見された脳動脈瘤(未破裂脳動脈瘤)や、くも膜下出血を発症されて診断がついた脳動脈瘤(破裂脳動脈瘤)に対して、検討される手術です。
基本的に全身麻酔で行います。
片方あるいは両方の足の付け根から径2~3mmのカテーテルを挿入し、最終的には径0.5~1mmの非常に細いカテーテルを動脈瘤の中に留置し、プラチナの糸(コイル)を動脈瘤の中に充填して内部から動脈瘤へ血流が入らないようにする治療です。

(左:留置前 右:留置後)
コイルが動脈瘤からはみ出さないように(正常な血管に逸脱しないように)、動脈瘤の入り口を一時的に風船を膨らませることでガードしたり、ステントと呼ばれる網目状の金属の筒でカバーすることもあります。
この治療で生じる傷は足の付け根に数ミリ程度のため、開頭手術と比較して侵襲が少ないという利点がありますが、動脈硬化や加齢性変化で血管の屈曲が非常に強い場合には困難なことがあります。
動脈瘤の治療法はコイル塞栓術のほかに、開頭手術による脳動脈瘤頸部クリッピング術があり、それぞれが得意とする動脈瘤があります。患者さんの動脈瘤に適した、また全身状態などを総合的に検討し、安全で確実な治療方針をご提供できるよう努めております。
【腫瘍栄養血管塞栓術】
頭蓋内に発生する腫瘍の中には、多くの栄養を必要とするために腫瘍を栄養する血管が非常に発達していることがあります。そのような腫瘍を摘出する場合、出血しやすいために手術の難易度が高くなったり、また手術時間の延長、その他に稀ですが重度の貧血となり輸血を必要とすることがあります。そのため摘出手術の前に、腫瘍を栄養している血管をコイルや各種塞栓物質を用いて塞栓することで、手術の危険性を低くします。
特にこの治療が行われる脳腫瘍の代表として髄膜種があります。髄膜腫は脳を包んでいる硬膜の血管を介して栄養(血液)を供給されることが多く、この硬膜の血管に対しては塞栓を行っても大きな問題とならないことがほとんどで安全性も高いため、積極的に行われる治療です。

(左:塞栓前 右:塞栓後)
【機械的血栓回収術】
脳梗塞の原因となる血栓(血の塊り)を血管の中からカテーテルを用いて回収し、元の血流を再開させる治療法です。
脳を栄養する血管の中でも太い血管(主幹動脈)で閉塞し、脳梗塞が完成してしまうと重篤な後遺症が生じてしまいます。そのため脳梗塞が完成する前に、再開通させることが重要と考えられています。
脳梗塞が疑わしい場合は、超緊急で頭部画像検査を行い、本幹部分での閉塞が脳梗塞の原因と考えられた場合は、アルテプラーゼ静注療法(血栓を溶かす点滴加療)に並行して、カテーテル治療も行います。発症してから6時間以内の治療が推奨されますが、最近では発症から6~24時間経過していても一定の条件を満たせば有効とされる報告もあるため、治療を行うことで症状の改善が見込まれる場合には積極的に治療を行います。(ただし、脳梗塞を生じている部位は血管が脆くなっているため、血流が再開することで出血を生じることがあります。そのため、明らかに脳梗塞が生じてしまっている場合は、経過時間に関係なく治療を控えた方が安全なこともあります。)
カテーテルを用いた血栓の回収方法は、大きく2つに分けられます。
1つ目は、閉塞部位より遠位まで径1mm弱のカテーテル(マイクロカテーテル)を進め、血栓の部分をカバーするようにステントリトリーバーと呼ばれる金属を広げ、血栓を絡めて引き戻して回収する方法です。
2つ目は、血栓の直前までカテーテルを進めて、吸引しながら血栓をカテーテルに吸着させて回収する方法です(アダプトテクニックと呼ばれます)。
この二つの方法を選択あるいは組み合わせることで、可及的速やかな血流再開を目指します。

中:血栓をステントリトリーバー(金属の網)で絡めて回収しています。
右:血栓が回収され、元の血流が回復しています。
当施設は365日24時間、脳血管内治療専門医が常駐しており、病院全体として常に本治療を行える体制を整えています。
その他に硬膜動静脈瘻や動静脈奇形といった異常な血管病変に対して、塞栓術を行うことがあります。
またくも膜下出血後の脳血管攣縮(脳梗塞の原因となる血管の状態)に対して、血管拡張薬をカテーテルから頭蓋内血管の中に直接注入する等、様々な疾患で血管内治療が行われています。

