ホーム > 患者さんへ > 診療内容・実績 > 脳腫瘍 > 転移性脳腫瘍
転移性脳腫瘍

【要点】
転移性脳腫瘍とは、脳以外の部位で発生した癌や肉腫等の悪性腫瘍が、脳に転移した腫瘍のことを言います。
ほとんどは血行性に転移します。
脳に転移している時点で、癌の病期は進行している状態とみなします。
転移性脳腫瘍は1カ所だけでなく、複数個認めることもあります(60%)。
[ 原発巣 ]
肺癌が50%を占め最も多く、乳癌が10%程度、腎癌や直腸癌がそれぞれ5%程度とされています。また癌の原発巣が特定できない原発不明癌というものも稀にあります。
【症状】
症状については他の脳腫瘍と同様に、腫瘍が発生・増大した部位によって異なり腫瘍が小さいうちから手足の麻痺が出現することもあれば、腫瘍が大きくなっても軽い頭痛程度しか認めないこともあります。
代表的な症状は次のようなものが挙げられます。
①片方の手足の麻痺症状(多くは軽症で発見されます。)
②視力・視野障害
③けいれん発作
④精神症状・認知症様症状
⑤複視(物が二重に見える症状です)
⑥その他(嗅覚障害、聴力障害、顔面神経麻痺)
【検査】
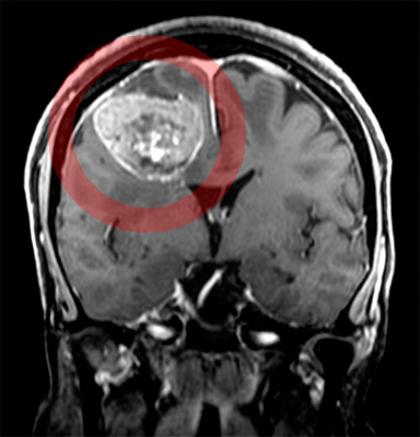
頭部CTあるいはMRI検査で、腫瘍あるいは周囲の脳の浮腫みといった異常所見を認めて、発見されることがほとんどです。
転移性脳腫瘍が疑われると、造影剤を用いたMRI検査や核医学検査等の検査を行います。また転移性腫瘍が発覚することで、原発巣(原発癌)を調べるきっかけになることも稀ながらあります。
【治療の必要性】
転移性脳腫瘍が発見された時点で、原発巣は既に病期が進んでいることがほとんどです。
そのため、転移性脳腫瘍を治療する目的は「患者さんの有意義な社会生活を延長させること」です。
【治療方法】
転移性脳腫瘍の治療は、①外科的摘出術、②放射線療法の2つです。
①外科的摘出術
腫瘍が3cm以上の大きさであること、摘出可能な部位である場合に摘出術を検討します。また腫瘍が単発であった場合にはより摘出術をお勧めしますが、多発であっても他の病変が微小であった場合には大きな病変のみ摘出して、微小な病変は放射線療法を併用することもあります。
②放射線療法
放射線療法には定位放射線手術と全脳照射があります。
手術困難な深部病変や多発性病変に対して放射線治療を検討することになります。
定位放射線照射の代表例がガンマナイフで、病巣部に細かいガンマ線を集中照射させる放射線治療です。病変が3cm以下と小さく、複数個存在する場合に、お勧めする治療法です。
全脳照射は、脳全体にエックス線を照射を行うことで、腫瘍の出現・増大を制御・予防する治療法です。ただ慢性期に脳委縮・放射線壊死・認知症等の合併症が出現することもあります。
ただ上記いずれの治療も、癌の原発巣が制御できていること、あるいは脳以外に転移病変がないか、あってもコントロールされていることが前提です。すでに原発巣や脳以外の転移巣が進行して、予後も長くないことが予想される場合には、侵襲を伴う治療を行うことで体への負担が大きくなり、かえって予後を悪くすることもあるため、治療については慎重な検討を要します。
そのため転移性脳腫瘍が見つかった場合には、癌の原発巣を治療する診療科と密に連携を取り、御本人・御家族と十分に御相談をして、御希望に沿った治療を提供します。

