ホーム > 患者さんへ > 診療内容・実績 > 脳血管障害 > もやもや病
もやもや病

【要点】
もやもや病は内頸動脈という脳全体の約2/3を栄養する血管が、進行性に狭窄・閉塞し、代償として異常な血管網の発達(もやもや血管)を認める原因不明の病気です。病気が診断されるのは、10歳以下を中心とする幼少期と30~40歳を中心とする成人期が多いとされています。

もやもや病では,通常認められる主幹動脈(太い血管)が消失している代りに,もやもやした血管(もやもや血管)が発達している。
幼少期は脳の血流が悪くなるために脳梗塞やその前兆とされる一過性脳虚血発作、また頭痛を呈して発見されることが多いですが、成人期になると脳虚血症状に加えて、代償性変化として発達したもやもや血管が破綻することで脳出血を生じ、診断されることもあります。
脳虚血症状を呈したり、脳出血がもやもや血管に原因があると考えられた場合に手術加療を考えます。
無症状の場合は、病状が進行することがあるため治療を行わない場合も慎重な画像検査によるフォローを行います。
【特徴】
家族性に発症することが知られています。(約10%)
東アジア人、特に本邦は罹患率が高いことが知られています。
小児の場合、熱いめん類などの食べ物を食す際のフーフーと冷ます動作や、吹奏楽器の演奏、息がきれるような運動や激しく泣くことなどが引き金となって脳虚血症状が出現し、もやもや病が発見されることが多いです。
【治療方法】
患者さんの個々の病状に合わせた治療をご提供できるよう心掛けています。
①内科治療
成人発症のもやもや病の患者さんの場合、通常の脳梗塞の治療に用いられる抗血小板剤という血をサラサラにするお薬は、脳出血を重篤なものにする可能性があり、一般的には積極的に勧めておりません。ただ、子供の場合は出血発症が稀なため,個々の病態によって脳梗塞予防のために内服してもらうことがありますが有効性については答えが出ておりません。
②手術加療
頭の皮膚に血液を送っている細い血管を頭皮から丁寧に切離し、脳の表面の血管とつなぐ手術(直接血行再建術)が、即効性があり特に発作を認める場合は有効と考えられています。ただし、非常に細く脆弱な血管に吻合を行うため、
また脳表に側頭筋や帽状腱膜,骨膜といった血流を有した軟部組織を開頭範囲内で可能な限り脳表に付着させることで時間はかかりますが新生血管が生じ、より血流が担保される手術も同時に行います(間接血行再建術)。
間接血行再建術は特に小児において治療効果が顕著ですが、成人においても効果が認められることがあるため、個々の病状に合わせて併用するかを決定します。

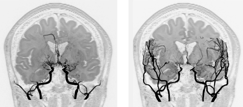
直接血行再建術と間接血行再建術を行った一例。
術後:外から発達した血管が脳を栄養していることがわかります。
【治療の有効性について】
脳梗塞を予防するためであれば抗血小板剤などによる内科治療も有効と考えられますが、脳出血を生じる・重篤な脳出血に進行するリスクが高くなるため長期間の内服加療は強くは勧められません。そのため脳虚血(脳梗塞、一過性脳虚血発作)のエピソードが認められた場合は、抗血小板剤に頼らずに脳への血流を増加させることが脳虚血を予防する上で重要です。
またもやもや血管が原因で脳出血を認めた患者さんの場合、内科治療を厳密に行っても再出血率が7.6%/年と高いことが知られています。これに対して、脳血流を改善させることができれば脳出血の原因と考えられているもやもや血管が退縮することが報告されており、脳虚血だけでなく脳出血のリスクも低下することが期待できます(2.7%/年)。
小児の場合は、慢性的に不足していた脳血流が改善するため、日常生活自立度や高次機能予後の改善が得られることが知られています。

術前:もやもや血管(赤い点線で囲まれた領域の黒いブツブツ)の発達を認めます。
術後:もやもや血管の退縮を認めます。
【当院でのもやもや病に対する治療】
当院では、原則として①直接血行再建術と②間接血行再建術を一期的に行う複合血行再建術を行っておりますが、まず手術前に内科治療で発作のコントロールを行い、精密検査を行った上で適切と考えられる治療をご提示致しております。
①直接血行再建術は成人・小児ともに術直後より治療効果が得られるため、当院では頭皮を栄養する血管を可能であれば2本採取し、それぞれ脳表面の血管につなぎます。特にもやもや病の患者さんの脳表面の血管は極めて細く脆弱なため習熟した術者による手術手技が求められます。また当院では皮膚に対して愛護的操作を心掛けており、術後の創部が問題となった経験は幸いにしてありませんが、頭皮を栄養する血管を採取するため皮膚血行不良による創部癒合不全が問題となることが報告されています。
②間接血行再建術については開頭範囲が術後の治療効果を決定するため、各種検査を評価した上で一度の治療でより治療効果が得られるような開頭を行っております。ただ、整容面(見た目)も重要なため、術後も創部が目立たないように当院独自の工夫を行い、整容面においても良好な結果が得られております。(皮膚切開・開閉頭術を工夫し、こめかみの陥凹の予防や体内に永続的に残る人工物の使用を極力控えています)
原則として、上記2つの手術を組み合わせた複合血行再建術を実施しておりますが、もやもや病の治療は手術だけではなく、周術期(手術前後)の管理も後遺症を残さないためには非常に重要なため、当院の麻酔科、小児科と術前から綿密に連携を取り、脳機能だけでなく全身管理も重視した治療をご提供しております。

